
COLUMNコラム
09.23 Tue
「虫歯かもしれないけど、まだ歯医者に行きたくない…」「治療費が高そう…」「もっと早く進行を止めたい!」そんな悩みを抱えているあなたへ。この記事では、虫歯の進行を止めるための具体的な方法を分かりやすく解説します。
自宅でできる応急処置から、進行度別の対策、そして効果的な予防策まで、あなたの歯の健康を守るための情報を全てお届けします。もう、虫歯の進行を恐れる必要はありません。この記事を読めば、あなたの歯はもっと健康に、そして笑顔はもっと輝くはずです。

「虫歯になったらもう削るしかない」と思われがちですが、実は虫歯のごく初期段階であれば進行を止めたり、状態を改善したりすることが可能です。そのためには、まず虫歯の始まりと進行のメカニズムを理解することが大切です。
このセクションでは、虫歯の進行のメカニズムや、進行度合いごとの症状、そして虫歯を放置することのリスクについて解説します。
虫歯は、歯の表面からカルシウムやリンといったミネラルが溶け出す「脱灰(だっかい)」という現象から始まります。
脱灰は、口の中にいる細菌(ミュータンス菌など)が食べ物の糖分をエサにして「酸」を作り出し、その酸によって歯が少しずつ溶けていくことで起こります。
この段階では、まだ歯に穴があくわけではなく、見た目には白く濁ったような変化が現れる程度です。
気づかずに放置してしまうと、徐々に歯の内部へと虫歯が進行していきます。
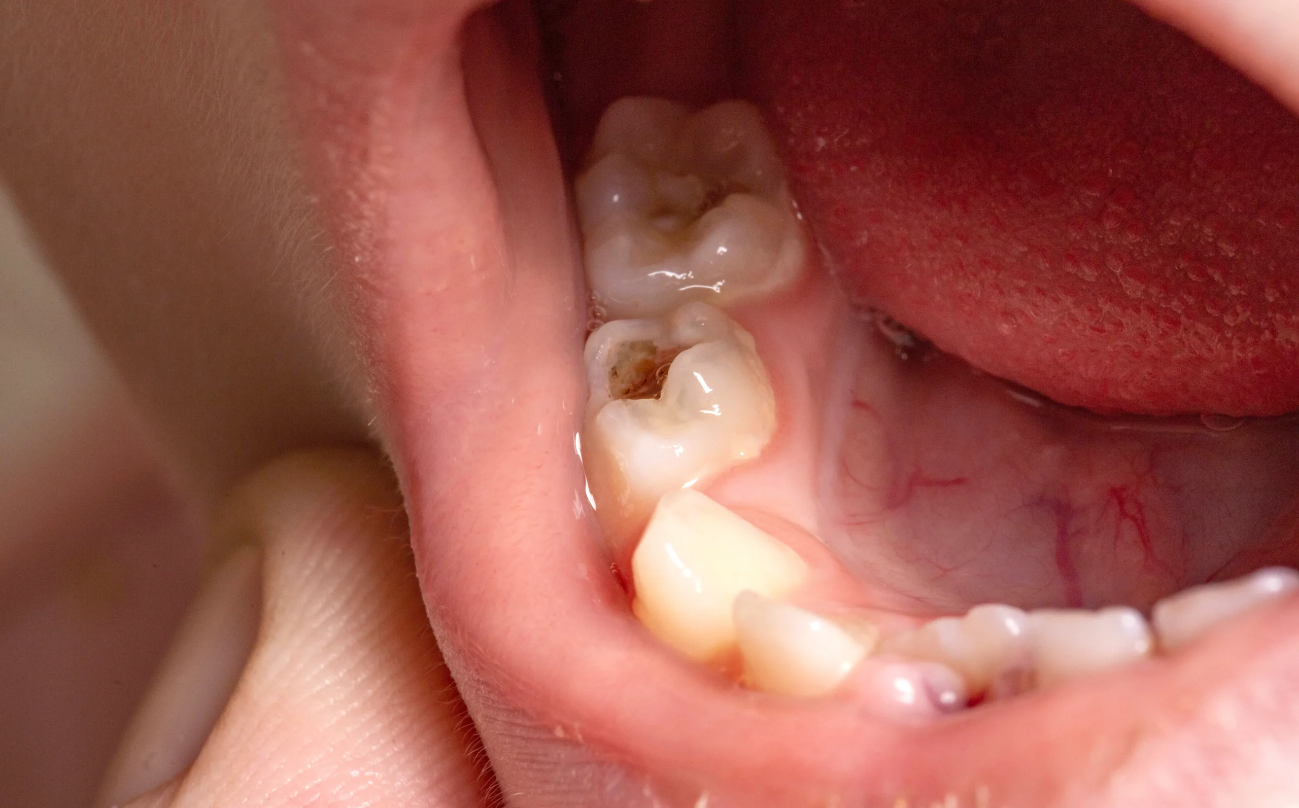
虫歯は、進行度合いによって症状が異なり、初期段階では自覚症状がないことも少なくありません。進行すると、冷たいものや甘いものが歯にしみるようになり、最終的には激しい痛みが生じます。
進行度合いは、C0(初期虫歯)、C1(エナメル質の虫歯)、C2(象牙質の虫歯)、C3(神経まで達した虫歯)、C4(歯根だけの状態)の5段階に分類されます。
それぞれの段階で治療法や症状が異なります。
C0(シーオー):ごく初期の虫歯。表面の脱灰が始まっている状態で、痛みはなく、再石灰化によって治る可能性があります。
C1:歯の表面(エナメル質)が侵食され、小さな穴があいた状態。痛みはないが、再石灰化では修復しきれないことが多く、削って詰める軽度な治療が必要な場合も。
C2:象牙質まで虫歯が進行。冷たいものがしみるなどの症状が出始めます。治療は詰め物やインレーを使います。
C3:虫歯が神経まで達した状態。ズキズキとした強い痛みがあり、根管治療(歯の神経を取る治療)が必要になります。
C4:歯の大部分が崩壊し、神経も死んでしまった末期状態。抜歯が必要なケースもあります。
このように、C0、C1の初期段階で発見できれば、治療の負担を最小限に抑えることができます。
C0のようなごく初期の虫歯であれば、「再石灰化(さいせっかいか)」によって進行を止めることが可能です。
再石灰化とは、唾液やフッ素などの働きによって、脱灰で失われたミネラルが再び歯に戻る現象です。
この作用により、歯の表面が修復され、虫歯の進行を食い止めることができるのです。
ただし、再石灰化がうまく機能するには次のような条件が必要です。
● 正しい歯みがきでプラーク(歯垢)を除去する
● フッ素入りの歯みがき粉を使う
● 食後すぐに歯を磨くのではなく、唾液の働きを活かして少し時間をおく
● 間食の回数を減らし、口の中が酸性になる時間を短くする
これらを習慣化することで、ごく初期の虫歯であれば「削らずに済む可能性」があるのです。
虫歯を放置すると、様々なリスクが生じます。初期段階であれば、適切なケアで進行を食い止めることも可能ですが、放置すると虫歯は徐々に進行し、治療は大がかりになります。
歯を削る範囲が大きくなり、神経を取る治療が必要になることもあります。さらに、虫歯が進行すると、歯を失う原因にもなります。歯を失うと、咀嚼能力が低下し、消化器官への負担が増加するだけでなく、見た目のコンプレックスにもつながります。
また、虫歯は口臭の原因にもなり、周囲の人に不快感を与えることもあります。虫歯を放置することは、単に歯の健康を損なうだけでなく、全身の健康にも悪影響を及ぼす可能性があるのです。

虫歯の進行を止めるためには、具体的な方法を実践することが重要です。日々の生活習慣を見直すことで、虫歯の進行を遅らせ、さらには予防することも可能です。
ここでは、虫歯の進行を食い止めるために、日常生活で実践できる具体的な方法をご紹介します。
虫歯予防でもっとも基本となるのは、毎日の歯磨きの習慣です。
しかし、ただ磨けば良いというものではありません。正しいブラッシング方法を実践することで、虫歯の原因となるプラーク(歯垢)を効果的に除去できます。
まず、歯ブラシの毛先を歯と歯茎の境目に当て、軽い力で小刻みに動かします。この時、歯ブラシの毛先が歯の表面全体に当たるように意識しましょう。特に磨き残しが多い奥歯や歯と歯の間は、丁寧にブラッシングすることが大切です。
歯ブラシだけでなく、デンタルフロスや歯間ブラシも併用しましょう。歯ブラシだけでは届かない歯と歯の間や歯周ポケットのプラークを、これらを使って除去します。デンタルフロスは、歯の側面に沿わせながら、優しく前後に動かして使用します。歯間ブラシは、歯間の隙間に合わせて適切なサイズを選び、歯と歯の間を数回往復させます。
歯磨きの時間も重要です。最低でも2〜3分を目安に、時間をかけて丁寧に磨きましょう。また、歯磨き粉の選び方も大切です。フッ素入りの歯磨き粉を使用することで、歯の再石灰化を促進し、虫歯を予防する効果が期待できます。歯磨き後は、口をすすぎすぎないように注意しましょう。フッ素が歯に留まる時間を長くすることで、より効果的に虫歯を予防できます。
食生活は、虫歯の進行に大きく影響します。特に、糖分の多い食べ物や飲み物は、虫歯の原因菌であるミュータンス菌のエサとなり、酸を生成して歯を溶かしてしまいます。間食の回数が多いほど、虫歯のリスクは高まります。
虫歯を悪化させる食べ物としては、甘いお菓子、ジュース、炭酸飲料、スナック菓子などが挙げられます。これらの食品は、糖分が多く含まれているだけでなく、粘着性が高いため、歯に付着しやすく、虫歯の原因菌が繁殖しやすい環境を作り出してしまいます。
虫歯を予防するためには、まず間食の回数を減らすことが大切です。どうしても間食をする場合は、糖分の少ないものを選びましょう。例えば、ヨーグルト、チーズ、ナッツ類などがおすすめです。また、食事の際には、よく噛んで食べるように心がけましょう。よく噛むことで、唾液の分泌が促進され、口内の自浄作用が高まります。
バランスの取れた食事をすることも重要です。ビタミンやミネラルが豊富な食品を積極的に摂取することで、歯の健康を維持し、虫歯を予防することができます。特に、カルシウムは歯を強くする効果があり、積極的に摂取したい栄養素です。
フッ素は、虫歯予防に非常に効果的な成分です。歯の再石灰化を促進し、歯質を強化する働きがあります。フッ素を効果的に活用することで、虫歯の進行を遅らせ、予防することができます。
フッ素の主な活用方法としては、フッ素配合の歯磨き粉の使用、歯科医院でのフッ素塗布、フッ素洗口などがあります。
フッ素の効果を最大限に引き出すためには、適切な方法で使用することが重要です。
歯磨き粉を使用する場合は、少量(1〜2cm)を歯ブラシに取り、歯全体に薄く広げるように磨きます。フッ素洗口を行う場合は、洗口液を口に含み、30秒程度かけて口全体に行き渡らせます。使用後は、水で口をすすがないように注意しましょう。
市販のフッ素入り歯みがき粉を毎日使うことでも効果がありますが、
歯科医院ではより高濃度のフッ素塗布(年数回)やフッ素洗口の指導を受けることもできます。
特に再石灰化が期待できるC0段階では、フッ素をうまく活用することで、削らずに様子を見ながらケアすることも可能になります。
自分では丁寧に磨いているつもりでも、どうしても磨き残しは生じてしまうものです。
そこで欠かせないのが、歯科医院で受ける「プロフェッショナルケア」です。
定期検診では以下のことが行われます。
● 磨き残しのチェックとブラッシング指導
● 虫歯の早期発見と経過観察
● 歯石除去やバイオフィルムの破壊(PMTC)
● フッ素塗布やシーラント処置(必要に応じて)
これらの処置により、自宅では落としきれないプラークや細菌の除去ができ、虫歯のリスクを大きく下げることができます。
また、虫歯が進行しやすい体質(唾液量が少ない・歯の質が弱いなど)の方も、定期検診を通じて自分のリスクを知ることで、より効果的な予防対策がとれるようになります。

虫歯は「歯みがき不足」だけで起こるものではありません。
実は、毎日の食習慣や生活スタイルも、虫歯の発症や進行に大きく関わっています。
歯のケアをしっかりしていても、何気ない生活習慣の中にリスクが潜んでいることも少なくありません。
ここでは、虫歯になりやすい人の特徴的な生活習慣について解説します。
虫歯の大きな原因となるのが、糖質(特に砂糖)の摂取です。
チョコレートや飴、ジュースなどの甘いものを口にすると、口の中の細菌が糖分を分解して酸をつくり、その酸によって歯を溶かす「脱灰」が始まります。
ポイントとなるのは「摂取する量」よりも「回数や頻度」です。
たとえば、1日に1回甘いものをまとめて食べるのと、少量でも何度も食べるのでは、後者の方が虫歯になりやすくなります。
これは、口の中が酸性状態にある時間が長くなるため、再石灰化が追いつかず、歯の表面がダメージを受けやすくなるからです。
飲み物は水よりもジュースやスポーツドリンクを選びがち、お菓子やガムを長時間口にしている、食事の間に頻繁に間食をとる、などの習慣がある方は、特に注意が必要です。
虫歯リスクを減らすためには、間食の回数を減らす・時間を決めて摂取する・甘い飲み物を控えるといった工夫が大切です。
「だらだら食べ」とは、食事や間食を長時間かけて摂取し続けることを指します。
この習慣は、虫歯のリスクを大きく高める原因の一つです。
食事をとると、口の中は一時的に酸性に傾きます。
通常は、唾液の働きによって時間とともに中性に戻り、歯の表面も再石灰化されていきます。
しかし、間を空けずに食べ続けたり、長時間何かを口にしていたりすると、口腔内がずっと酸性状態のままになり、再石灰化のチャンスが失われてしまいます。
唾液には本来、酸を中和して口内環境を中性に戻し、食べかすや細菌を洗い流し、再石灰化を促進する働きがあります。
だらだら食べは、唾液の力を十分に発揮できない状況をつくってしまうのです。
特に子どもや高齢者の場合は、食べるペースがゆっくりだったり、甘いものを少しずつ長時間口にしていたりすることが多いため、注意が必要です。
虫歯予防において、唾液の量と質は非常に重要な役割を果たしています。
唾液が少ないと、口の中の酸が中和されにくくなり、細菌が活発に活動しやすくなるため、虫歯のリスクが高まります。
以下のような人は、唾液が少なくなりやすい傾向があります。
● 加齢によって唾液腺の機能が低下している
● 薬の副作用で口が乾きやすい(抗うつ剤・降圧剤・抗アレルギー薬など)
● ストレスや緊張が続いている
● 水分摂取が少ない・口呼吸の習慣がある
唾液の分泌を促すには、よく噛んで食べる・ガムを噛む・水分をこまめにとるなどが効果的です。
また、口の乾燥が気になる場合は、保湿ジェルや洗口液、舌や頬のストレッチを取り入れることもおすすめです。
自覚症状がある場合は、歯科医院でドライマウスのチェックを受けると安心です。

虫歯は、進行の段階によって取るべき対策が異なります。
初期段階であれば、適切なセルフケアによって進行を止められる可能性もありますが、進行が進むと歯科医院での治療が必要になります。ここでは、虫歯の進行度に応じた具体的な対処法を紹介します。
初期虫歯とは、歯の表面(エナメル質)がわずかに溶け始めた状態のことです。
この段階では痛みなどの自覚症状はほとんどありませんが、適切なケアを行うことで虫歯の進行を抑えることが可能です。
● 丁寧な歯磨き
プラーク(歯垢)をしっかり除去するため、フッ素入りの歯磨き粉を使って、歯と歯茎の境目、歯と歯の間、嚙む面(咬合面)をしっかり磨きましょう。歯間ブラシやデンタルフロスも併用して、歯と歯の間までしっかりケアすることが大切です。
● 食生活の見直し
糖分の多いお菓子や飲料は控え、間食の回数もできるだけ減らしましょう。よく噛んで食べることは唾液の分泌を促し、口内の自浄作用を高めることにもつながります。
● フッ素の活用
フッ素入り歯磨き粉に加え、フッ素洗口液の併用も効果的です。フッ素には再石灰化を促進し、歯質を強化する働きがあります。
● 定期的な歯科検診
虫歯の進行状況をチェックし、必要に応じて再石灰化を促す処置や経過観察を受けることが大切です。
● 専門家のアドバイスを活用
正しいブラッシング方法や食生活の指導を受けることで、自宅ケアの質をさらに高めることができます。
虫歯が進行すると、冷たいものや甘いものがしみたり、痛みを感じるようになります。ここまで進むと、自宅でのケアだけでは進行を止めることが難しく、歯科医院での専門的な治療が必要になります。
● 痛みがあるとき:市販の鎮痛薬を一時的に使用して痛みを和らげることは可能ですが、あくまでも対処療法です。できるだけ早く歯科を受診しましょう。
● 詰め物が取れた場合:外れた詰め物は保管しておき、早めに歯科医院で処置を受けてください。そのまま放置すると虫歯がさらに悪化する恐れがあります。
● 歯が欠けた場合:欠けた箇所を触らず、すぐに歯科医院へ。細菌が侵入することで、症状が悪化するリスクがあります。
● 早期治療が重要:虫歯が進行すると、治療が大がかりになりやすくなります。早期に受診することで、削る範囲が少なくて済み、歯を残せる可能性も高くなります。
● 治療の内容:進行度によって、詰め物(インレー)、被せ物(クラウン)、根管治療(神経の治療)などが必要になります。歯科医と相談し、適切な方法を選びましょう。
● 治療後の予防ケア: 治療が終わっても油断は禁物です。定期検診と毎日のセルフケアを続けることで、再発を防ぎ、歯の健康を維持することができます。

虫歯を未然に防ぐことは、歯の健康を守る上で非常に重要です。毎日の適切なケアと定期的な検診を通じて、虫歯のリスクを大幅に減らすことができます。
定期検診は、虫歯予防の要です。歯科医院での定期的な検診は、虫歯の早期発見に繋がります。初期段階の虫歯であれば、簡単な治療で済むことが多く、歯を大きく削る必要もありません。また、歯科医または歯科衛生士による専門的なクリーニング(PMTC)を受けることで、歯垢や歯石を除去し、虫歯の原因菌の繁殖を抑制することができます。
定期検診では、歯磨きの方法や食生活に関するアドバイスも受けられます。歯科医や歯科衛生士から、自身の歯の状態に合わせた適切なアドバイスを受けることで、日々のセルフケアの質を高めることができます。検診の頻度は、個々の状況によって異なりますが、一般的には3ヶ月から6ヶ月に一度の受診が推奨されています。
虫歯になりにくい生活習慣を身につけることは、虫歯予防の基本です。毎日の歯磨きに加え、食生活を見直すことで、虫歯のリスクを大幅に減らすことができます。
正しい歯磨きの徹底: 毎食後と就寝前の歯磨きを習慣づけ、歯ブラシだけでなく、デンタルフロスや歯間ブラシも使用して、歯垢をしっかりと除去しましょう。フッ素入りの歯磨き粉を使用することで、虫歯予防効果を高めることができます。
食生活の見直し: 糖分の多い食べ物や飲み物、間食を控えめにし、バランスの取れた食事を心がけましょう。食事の際には、よく噛んで唾液の分泌を促すことも大切です。唾液には、虫歯の原因菌が作り出す酸を中和し、歯を再石灰化する働きがあります。
フッ素の活用: フッ素配合の歯磨き粉の使用、歯科医院でのフッ素塗布、フッ素洗口などを組み合わせることで、さらに効果的に虫歯を予防できます。
これらの生活習慣を実践することで、虫歯のリスクを低減し、健康な歯を長く維持することができます。日々の小さな努力が、将来の歯の健康へと繋がります。

毎日の適切なケアと生活習慣の改善、そして歯科医院での定期検診という3つの習慣を継続することで、虫歯のリスクは大きく軽減されます。
まず大切なのは、毎日のセルフケアを徹底することです。歯ブラシの使い方を正しく理解し、歯と歯茎の境目に毛先を当てて小刻みに動かすなど、効果的な歯磨きを実践しましょう。また、歯ブラシだけでは取り切れない汚れを除去するために、デンタルフロスや歯間ブラシといった補助清掃用具を取り入れることも大切です。さらに、フッ素を積極的に活用することで、歯の再石灰化を促し、歯質そのものを強くすることが可能になります。
加えて、虫歯を防ぐためには食生活の見直しも欠かせません。糖分の多いお菓子や飲み物、頻繁な間食はできるだけ控えるよう心がけましょう。そして、食事の際にはしっかりと噛む習慣をつけることで唾液の分泌が促され、虫歯の原因となる酸を中和する働きが高まります。
さらに、定期的な歯科検診を受けることも重要です。定期検診によって、まだ症状の出ていない初期虫歯を早期に発見することができれば、簡単な処置で済むことが多く、歯を大きく削る必要もありません。加えて、歯科医院での専門的なクリーニングを受ければ、歯垢や歯石の除去を通じて虫歯リスクの軽減にもつながります。自分では気づきにくい磨き残しや生活習慣についても、歯科医師や歯科衛生士からアドバイスを受けることで、より自分に合ったセルフケアの方法を学ぶことができます。
このように、日々の小さな積み重ねが、将来の歯の健康に直結します。 虫歯は「自然には治らない病気」ですが、正しいケアと習慣を身につけることで、その進行を食い止め、予防することは十分に可能です。できることから、今日からはじめてみましょう。
なお、札幌市東区にあるよな歯科クリニックでは、予防歯科に力を入れ、患者さま一人ひとりに合わせた丁寧なケアとアドバイスを行っています。虫歯の早期発見や定期的なメンテナンスをご希望の方は、お気軽にご相談ください。
地域の皆さまの「一生自分の歯で噛める幸せ」をサポートいたします。